Article | REF: R1109 V1

Wavelet digital filtering - Applications in medical imaging

Author: Abdeldjalil OUAHABI

Publication date: June 10, 2013 | Lire en français

You do not have access to this resource.
Click here to request your free trial access!

Already subscribed? Log in!

Automatically translated using artificial intelligence technology (Note that only the original version is binding) > find out more.

    A  |  A

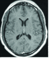
    3. Denoising in medical imaging

    3.1 MRI illustration

    In magnetic resonance imaging, the practical limits of acquisition time impose a compromise between signal-to-noise ratio and image resolution. The MR image is commonly reconstructed by calculating the inverse discrete Fourier transform of the raw data. The noise in (the modulus of) the MR image is rician or Rice (see § 1.2

    You do not have access to this resource.

    Exclusive to subscribers. 97% yet to be discovered!

    You do not have access to this resource.
    Click here to request your free trial access!

    Already subscribed? Log in!


    The Ultimate Scientific and Technical Reference

    A Comprehensive Knowledge Base, with over 1,200 authors and 100 scientific advisors
    + More than 10,000 articles and 1,000 how-to sheets, over 800 new or updated articles every year
    From design to prototyping, right through to industrialization, the reference for securing the development of your industrial projects

    This article is included in

    Signal processing and its applications

    This offer includes:

    Knowledge Base

    Updated and enriched with articles validated by our scientific committees

    Services

    A set of exclusive tools to complement the resources

    Practical Path

    Operational and didactic, to guarantee the acquisition of transversal skills

    Doc & Quiz

    Interactive articles with quizzes, for constructive reading

    Subscribe now!

    Ongoing reading
    Denoising in medical imaging