Il est pourtant communément admis qu’ils devraient réagir de façon semblable aux contraintes mécaniques. Mais en couplant l’expérimentation par microscopie et la modélisation, avec les moyens de calcul de Genci et de Prace, les chercheurs ont découvert deux mouvements de dislocation différents dans ces matériaux. Leur but est désormais d’étudier différents alliages innovants pour en évaluer les caractéristiques de façon prédictive.
Le titane et le zirconium, deux métaux cristallins utilisés notamment dans l’industrie (plus particulièrement pour les applications nucléaires et l’aéronautique), ont des structures électroniques très proches (même nombre d’électrons dans leur couche externe). Ils cristallisent également de façon semblable, c’est-à-dire que lorsque les atomes se structurent en réseau cristallin, ils adoptent une disposition comparable.
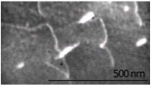
Malgré leurs nombreux points communs, les physiciens ont montré, contre toute attente, que ces deux métaux réagissaient différemment aux contraintes mécaniques. En étirant un échantillon pur de chacun de ces métaux dans un microscope électronique à transmission à différentes températures – entre -170°C et +20°C –, ils ont observé et comparé les « défauts linéaires » qui apparaissaient : des dislocations qui évoluent au fur et à mesure de la contrainte exercée. Deux comportements ont été observés : des dislocations animées d’un mouvement saccadé transitant par différents plans dans le titane ; des dislocations glissant continument dans un unique plan dans le zirconium.
La simulation en soutien à l’observation
Pour comprendre cette différence de mobilité, les chercheurs ont donc modélisé à l’échelle atomique le cœur des dislocations sur le supercalculateur Curie de Genci, exploité par les équipes du Très Grand Centre de calcul du CEA (TGCC), en Île-de-France. Ces simulations montrent que les dislocations peuvent adopter deux configurations différentes : une glissant facilement en continu, l’autre difficilement. Chacune de ces deux configurations existe dans les deux métaux, mais avec une stabilité (ou récurrence) différente : les dislocations les plus stables dans le titane sont celles glissant difficilement, contrairement au zirconium.
Avec cette nouvelle vision de la plasticité dans le titane et le zirconium purs, il est à présent possible de modéliser sur des bases physiques robustes le comportement plastique des alliages correspondant. Que ce soit dans les alliages de titane ou de zirconium, les éléments d’addition – en particulier l’oxygène – affectent profondément le comportement plastique du matériau. L’objectif sera alors d’étudier comment les éléments d’alliage interagissent avec les différentes configurations des dislocations et modifient à la fois leur stabilité et leur mobilité. Les enjeux technologiques associés sont importants puisque les alliages de zirconium et ceux de titane sont des matériaux de structure couramment utilisés dans l’industrie nucléaire et dans celle des transports.

Glissement de dislocations dans du titane pur observé in situ dans un microscope électronique à transmission à une température de 150K. © Daniel Caillard / CEMES

Glissement de dislocations dans du zirconium pur observé in situ dans un microscope électronique à transmission à une température de 150K. © Daniel Caillard / CEMES
- Références
Dislocation locking versus easy glide in titanium and zirconium, E. Clouet, D. Caillard, N. Chaari, F. Onimus and D. Rodney, Nature Materials (2015), www.nature.com
Source : portail.cea
Et aussi dans les
ressources documentaires :






Réagissez à cet article
Connectez-vous
Vous avez déjà un compte ? Connectez-vous et retrouvez plus tard tous vos commentaires dans votre espace personnel.
Vous n'avez pas encore de compte ?
Inscrivez-vous !