Des chercheurs sont parvenus à focaliser des ondes ultrasonores à travers le crâne grâce à des modèles de calcul permettant de simuler les perturbations du faisceau. Ce résultat pourrait ouvrir la voie à de nouveaux appareils destinés aux soins ambulatoires.
Environ 140 000 personnes sont victimes d’un AVC (Accident vasculaire cérébral) chaque année en France. Leur chance de guérison repose en grande partie sur la rapidité du diagnostic. Il existe deux types d’AVC, chacun demandant un traitement très différent. L’un, appelé ischémique, s’explique par un vaisseau cérébral obstrué tandis que l’autre est au contraire hémorragique. Des techniques d’imagerie très performantes comme l’IRM ou la tomographie par rayons X sont actuellement utilisées pour différencier ces deux AVC. Sauf que ces appareils sont lourds, coûteux, et ne sont pas présents dans les services d’urgence. L’échographie n’est pour l’instant pas en mesure d’observer l’activité cérébrale car la paroi crânienne rend difficile la propagation des ondes ultrasonores dans le cerveau. Un projet nommé Attract-EchoBrain et financé par la Commission européenne a réussi à franchir cet obstacle. Ce travail de recherche pourrait à terme ouvrir la voie à de nouveaux appareils embarqués dans les ambulances.
À l’origine de ce résultat, des travaux réalisés au CEA-List sur le contrôle non destructif à l’aide d’ultrasons. L’institut a en effet développé des outils de simulation et d’imagerie pour détecter des défauts dans des pièces industrielles destinées à l’industrie nucléaire et aéronautique. Installé sur le site hospitalier d’Orsay, le laboratoire d’imagerie biomédicale multimodale Paris-Saclay (BioMaps), lui a fait part de son intérêt pour cette technologie qui pourrait améliorer l’échographie transcrânienne.

Les ondes sonores se propagent difficilement
La technique de l’échographie médicale est aujourd’hui bien maîtrisée, mais efficace uniquement sur des tissus mous. « Dès qu’il y a un obstacle dur, notamment des os, les ultrasons ont des difficultés à se propager, analyse Sylvain Chatillon, ingénieur-chercheur au CEA-List. C’est particulièrement le cas lorsque l’on veut traverser la paroi crânienne car elle est composée de trois couches. De plus, chaque crâne a une géométrie différente selon les personnes, et au final ce matériau n’est pas homogène. La vitesse et la propagation des ondes sonores sont donc difficiles à maîtriser. »
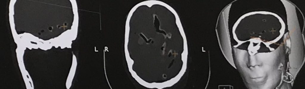
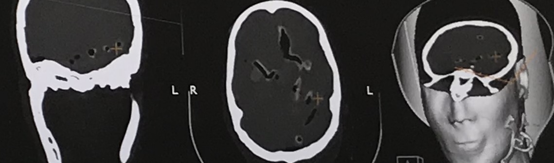
Reprenant la technologie développée pour pénétrer dans des milieux complexes et solides, les chercheurs ont construit des modèles de calcul pour simuler les perturbations que va subir le faisceau ultrasonore dans le crâne. « Nous avons d’abord fait une imagerie nanographique du crâne pour obtenir sa description géométrique, explique le chercheur. Ensuite, nous avons utilisé nos outils au CEA-List pour simuler la propagation du champ ultrasonore au travers de la paroi crânienne et pouvoir ensuite calculer les lois de phases nous permettant de corriger l’image ». Les chercheurs se sont servis de capteurs multi-éléments qui se pilotent indépendamment les uns par rapport aux autres, afin de focaliser en profondeur le faisceau ultrasonore. Ces capteurs sont notamment capables de retarder les émissions d’ondes pour compenser les perturbations provoquées par le milieu.
La résolution de l’image s’est nettement améliorée
Grâce à ces techniques, les chercheurs sont ainsi parvenus à focaliser les ultrasons sur les tissus mous à l’intérieur du crâne et à améliorer nettement la qualité de l’image échographique. « La résolution de l’image est nettement meilleure, ajoute Sylvain Chatillon. Nous avons réussi à améliorer l’amplitude des échos d’environ une dizaine de décibels, ce qui est déjà beaucoup ». Pour le moment, ce résultat est une première preuve de concept. Les chercheurs ont démontré qu’à condition de connaître parfaitement la géométrie du crâne, et en considérant une hypothèse simplificatrice que le matériau constituant le crâne est homogène, ils sont capables d’améliorer notablement les caractéristiques de l’image obtenue en corrigeant les perturbations. « Toute la difficulté est de connaître la géométrie du crâne pour pouvoir appliquer ces algorithmes de correction des aberrations, poursuit le chercheur. »
Ce travail de recherche va se poursuivre. Les scientifiques veulent améliorer les outils de simulation pour les rendre plus performants et plus rapides. Plusieurs années seront nécessaires avant de voir cette technologie rejoindre les équipements disponibles en soins ambulatoires. Elle devra au préalable subir des phases de validations pré-cliniques puis cliniques.
Crédit image de Une : CEA






Réagissez à cet article
Connectez-vous
Vous avez déjà un compte ? Connectez-vous et retrouvez plus tard tous vos commentaires dans votre espace personnel.
Vous n'avez pas encore de compte ?
Inscrivez-vous !