Le 9 octobre dernier, 35 doctorantes et post-doctorantes se sont vu décerner le Prix Jeunes Talents France 2024 L’Oréal-UNESCO Pour les Femmes et la Science. Une récompense remise à ces jeunes chercheuses au travail prometteur, à l’issue d’une sélection parmi près de 800 candidates, par un jury composé d’une quarantaine de membres de l’Académie des sciences. De quoi accélérer la carrière de ces femmes scientifiques, mais aussi mettre en lumière l’enjeu que représente toujours l’inclusion des femmes dans les filières scientifiques. Entretien avec Élodie Germani, docteure en bioinformatique.
C’est au détour d’un stage dans un laboratoire de recherche en mathématiques appliquées qu’Élodie Germani, qui se destinait initialement à une carrière de médecin, s’est découvert une passion pour la bioinformatique. Une révélation qui la conduira finalement vers une thèse, au cours de laquelle elle mène des travaux à l’interface entre l’informatique et la médecine, portant sur les usages de l’intelligence artificielle pour la recherche expérimentale en imagerie médicale. Docteure depuis septembre dernier, elle a entretemps entamé un parcours de post-doctorat à Bonn, en Allemagne.
Techniques de l’Ingénieur : Quel a été le parcours qui vous a menée jusqu’à ce doctorat en physique ?
Élodie Germani : Mon parcours est assez atypique. Le lycée a pour moi été une étape clé. En seconde, j’ai dû prendre une décision quant à mon orientation, à une époque où l’on parlait encore de bac S, ES et L. Depuis toute petite, j’étais attirée par les sciences, la médecine, mais aussi le journalisme ou encore l’écriture. J’avais donc face à moi une très large palette de choix possibles. J’ai aussi, à ce moment-là, commencé à douter de mes compétences. J’ai failli m’orienter vers un bac STMG (Sciences et technologies du management et de la gestion, n.d.l.r.), car j’avais au départ un peu peur de ne pas réussir dans une filière scientifique… C’est pourtant finalement la voie que j’ai choisie, et qui m’a amenée jusqu’à un baccalauréat scientifique, que j’ai obtenu avec mention « très bien ». Je me suis alors à nouveau trouvée confrontée au même dilemme : que faire maintenant ? J’ai finalement opté pour des études de médecine, sans trop me poser de questions… Ça n’est qu’en quatrième année que je me suis rendu compte que, même si j’adorais ce que j’apprenais, certains aspects de ce futur métier de médecin ne me correspondraient pas : le contact avec les patients, le fait d’être toujours dans l’action… J’avais besoin d’un métier plus posé. J’ai donc commencé à exprimer mes doutes à ma famille, mais aussi à mes enseignants.
L’un de mes professeurs de l’Université de Versailles Saint-Quentin-en-Yvelines m’a alors suggéré d’entamer un double cursus médecine-sciences, et m’a même orientée vers un laboratoire de recherche susceptible de m’accueillir en tant que stagiaire.
C’est comme cela que j’ai eu l’opportunité de faire un stage de recherche au sein d’une structure de l’Université Paris-Descartes (désormais Université Paris Cité, n.d.l.r.) : le laboratoire de mathématiques appliquées MAP5. Ce fut une expérience de quelques semaines seulement, mais elle m’a permis de rencontrer mon mentor, qui m’a initiée en un temps record à la programmation, au machine learning… Cela a été pour moi une vraie révélation, un électrochoc !
J’ai alors postulé à différents masters en bioinformatique, et j’ai finalement choisi celui de l’Université de Rennes. Cela ne devait être qu’une année de césure, avant un retour à la médecine. Mais cela m’a tellement plu que j’ai finalement choisi de me consacrer entièrement à la bioinformatique. J’ai alors enchaîné avec un master 2, puis une thèse de doctorat, que j’ai soutenue en septembre dernier.
Avez-vous le sentiment que votre genre a eu un impact sur le déroulement de ce parcours que vous venez de décrire ? Si c’est le cas, a-t-il été plutôt un frein, un handicap, ou au contraire un atout, un levier qui vous a permis d’avancer ?
J’ai justement beaucoup réfléchi à cette question dernièrement. J’en suis finalement arrivée à la conclusion que cela avait à la fois eu des impacts positifs et négatifs. Positifs tout d’abord, car être une femme m’a ouvert des possibilités auxquelles je n’aurais pas forcément eu accès si j’avais été un homme : des actions réservées aux femmes, visant à rétablir une forme d’égalité.
En mon for intérieur, j’ai toutefois aussi ressenti, en tant que femme, une sorte de syndrome de l’imposteur, dont j’ai eu du mal à me débarrasser, en évoluant dans ce milieu très masculin de l’informatique. Je me suis donc efforcée de ne plus penser que je n’en étais arrivé là que parce que je suis une femme – pour les quotas – et que mes travaux, mes compétences, valaient moins que ceux d’un homme. Cela a été un vrai obstacle pour moi, et cette charge mentale permanente a même eu des impacts sur ma santé.
Quels travaux avez-vous menés au cours de ces trois années de thèse ? Quel(s) résultat(s) marquant(s) mettriez-vous plus particulièrement en avant ?
J’ai travaillé à l’interface entre l’informatique et la médecine, sur des usages de l’intelligence artificielle pour l’imagerie médicale, et plus précisément pour la recherche expérimentale en imagerie médicale.
Il y a quelques années, on a en effet assisté à l’émergence d’une crise de la reproductibilité dans le domaine de la recherche expérimentale, qui a mis en lumière le fait qu’une grande partie des résultats publiés étaient peu robustes, peu fiables, peu généralisables, et parfois même tout simplement faux ! Ça a notamment été le cas au cours de la crise sanitaire…
J’ai donc travaillé sur des systèmes d’intelligence artificielle visant à proposer des solutions aux chercheurs afin que, au moment de la conception de leur protocole de recherche expérimentale, ils fassent appel à des méthodes plus fiables et plus robustes. Ceci, afin qu’ils puissent obtenir in fine des résultats eux aussi plus fiables et plus robustes.
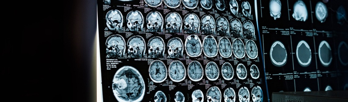
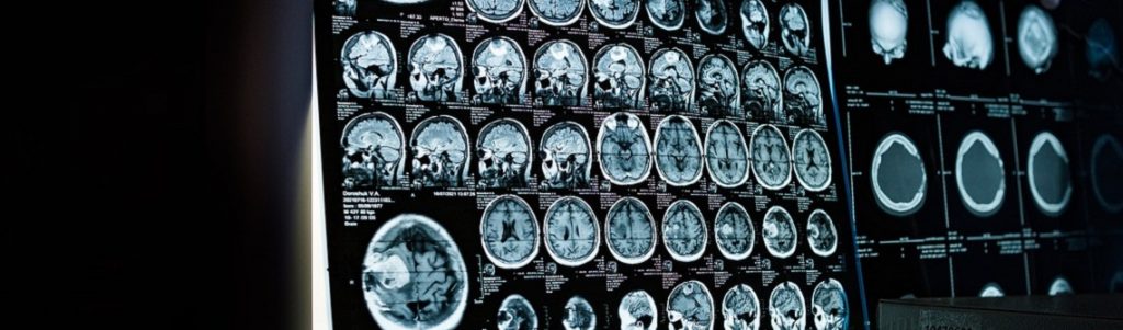
Le projet qui m’a menée à ma première publication était un travail autour de l’IRM fonctionnelle cérébrale (IRMf), une modalité d’imagerie dans laquelle on étudie l’activité du cerveau. Différents types d’études peuvent être menés à l’aide de cette méthode. J’ai, pour ma part, travaillé sur une étude de décodage, visant à identifier une activité donnée menée par un participant, ou un stimulus reçu, à partir des données d’IRMf. J’ai proposé une solution aux chercheurs visant à rendre ces études de décodage plus robustes, et à ce qu’elles fournissent des résultats plus facilement généralisables entre différents individus, en réutilisant des données présentes sur des plateformes publiques.
Ce mouvement de la « science ouverte » me tient d’ailleurs particulièrement à cœur. Les chercheurs sont de plus en plus nombreux à mettre à disposition publiquement les données issues de leurs travaux, qui sont, malheureusement encore très peu réutilisées. J’ai montré que, même si cette réutilisation n’est pas forcément évidente, de par notamment l’hétérogénéité des données, on pouvait justement tirer parti de leur caractère hétérogène, de leur variabilité, pour qu’ensuite les études construites à partir de ces données soient plus robustes et généralisables.
J’ai par ailleurs aussi pu commencer à travailler sur des applications de l’IA davantage liées à la pratique clinique, notamment pendant une période de mobilité internationale que j’ai passée au Canada, à Montréal. Ce travail, qui a consisté à évaluer la reproductibilité et la robustesse d’une étude utilisant de l’imagerie médicale en association avec des techniques d’apprentissage automatique pour prédire l’évolution de la maladie de Parkinson, a lui aussi fait l’objet d’une prépublication.
C’est vers ce type de travail davantage lié à des applications cliniques que je compte désormais me diriger. Il reste en effet encore énormément de problématiques qui freinent le développement de l’usage de systèmes d’IA dans le domaine imagerie médicale.
Notamment, sans doute, celle de l’explicabilité des résultats apportés par ces algorithmes d’IA… ?
C’est effectivement une problématique majeure en médecine, sur laquelle je ne travaille pas directement, mais dont j’entends énormément parler. C’est un sujet qui pose encore problème : les médecins ont besoin de pouvoir comprendre pourquoi un modèle d’IA leur apporte un résultat donné, pour un patient donné, et de s’assurer que ce résultat n’est pas affecté par un biais quelconque.
Vous avez, vous le disiez, soutenu votre thèse en septembre dernier… Quelle sera la suite de votre parcours ?
J’ai débuté, le 1er octobre dernier, un contrat post-doctoral à l’Université de Bonn, en Allemagne.
Je continue à travailler sur ces problématiques liées à l’utilisation de modèles d’IA en imagerie médicale, mais, comme je l’évoquais, pour des applications plus directement liées à la pratique clinique. Je vais plus particulièrement me pencher sur les aspects liés à la sécurité de l’utilisation de l’IA, mais aussi sur la question de la qualité des données, notamment dans les milieux à faibles ressources, qui manquent souvent de moyens humains.
Quelles perspectives ce Prix Jeunes Talents France 2024 L’Oréal-UNESCO Pour les Femmes et la Science qui vous a été décerné le 9 octobre dernier ouvre-t-il pour vous et la poursuite de votre carrière ?
Ce prix va tout d’abord m’offrir davantage de visibilité. Quand j’ai envoyé ma candidature, je n’avais d’ailleurs pas pris la mesure de la reconnaissance que cela allait m’apporter ! J’enchaîne aujourd’hui les interviews avec l’impression d’être une célébrité ! (Rires.) C’est vraiment chouette, et cela va m’aider à montrer que mes travaux ont de l’importance. J’espère aussi pouvoir contribuer à réduire par la même occasion les craintes du grand public autour de l’IA.
Je pense que ce prix va aussi m’aider, dans la suite de ma carrière, à décrocher des financements. C’est un vrai « plus » sur un CV, qui peut avoir un impact important par la suite.
Sur le plan des relations, ce prix m’ouvre aussi de nouvelles perspectives, ne serait-ce qu’en m’ayant permis de rencontrer les 34 autres lauréates. Nous avons passé trois jours de séminaires toutes ensemble. Pendant ce séjour, j’ai d’ailleurs pu nouer un lien privilégié avec l’une d’entre elles, et nous allons lancer un projet de recherche ensemble !
Ce prix m’a donc d’ores et déjà permis de vivre des choses très positives, et il m’a, en plus, aidée à gagner en maturité, à tout de suite pouvoir entrer dans le vif du sujet de mon post-doc[1], notamment sur des aspects tels que les demandes de financements, la création de projets… Ce prix a été une vraie accélération pour moi, il m’a boostée d’une façon incroyable !
Une question subsidiaire, pour terminer… Avez-vous éventuellement en tête un exemple de figure féminine marquante à vos yeux, de l’Histoire des sciences, ou du monde scientifique contemporain ?
En ce qui concerne les grandes figures du passé, j’aurais évidemment tendance à citer Marie Curie… ! Mais c’est une personnalité actuelle que j’admire encore davantage, que je suis sur les réseaux, et qui est un vrai modèle pour moi : Cassie Kozyrkov, spécialiste de l’IA passée notamment par Google. C’est une femme qui m’a beaucoup inspirée quand j’ai commencé à travailler dans ce domaine. J’ai écouté toutes ses conférences, tous ses podcasts… Elle est pour moi le symbole de l’empowerment des femmes, et un vrai role model !
[1] Post-doctorat






Réagissez à cet article
Connectez-vous
Vous avez déjà un compte ? Connectez-vous et retrouvez plus tard tous vos commentaires dans votre espace personnel.
Vous n'avez pas encore de compte ?
Inscrivez-vous !